
การตรวจดูว่ามะเร็งหรือไม่ สามารถแบ่งได้เป็น 2 กรณี ได้แก่...
การตรวจกรณียังไม่มีอาการใด หรือการตรวจคัดกรอง (Screening)
มักจะใช้วิธีการตรวจอัลตราซาวด์ทางช่องท้อง อัลตราซาวด์เป็นการใช้คลื่นเสียงในการตรวจ จึงไม่มีอันตรายใดๆต่อสุขภาพ นอกจากนี้ยัง ใช้การตรวจเลือด เพื่อหาระดับของโปรตีนชนิดหนึ่งที่เรียกว่า AFP (Alpha fetoprotein) ซึ่งมีโอกาสจะตรวจพบสูงกว่าปกติ ในมะเร็งตับได้ถึง 40% การตรวจคัดกรองนี้ แนะนำให้ทำปีละ 2 ครั้ง

การตรวจกรณีที่สงสัยว่าจะเป็นมะเร็งตับ
มักจะใช้การตรวจเริ่มต้นด้วยการอัลตราซาวด์และตรวจเลือดดูระดับ AFP เหมือนกัน แต่จะมีการตรวจละเอียดเพิ่มเติมด้วยการใช้ เอกซเรย์คอมพิวเตอร์ (CT Scan) หรือบางครั้งอาจใช้การตรวจด้วยคลื่นแม่เหล็กไฟฟ้า (MRI) ซึ่งจะให้รายละเอียดเพิ่มเติมได้อย่างชัดเจน โดยสามารถบอกขนาด รูปร่าง จำนวน ปริมาณเลือดที่มาเลี้ยง การกัดกิน อวัยวะข้างเคียง การกินเข้าในหลอดเลือดดำ หรือการกระจายไปยังอวัยวะอื่นๆ เช่น ต่อมน้ำเหลือง ต่อมหมวกไต ปอด หรือกระดูกได้ เมื่อแพทย์มั่นใจแล้วว่าเป็นโรคมะเร็งตับ ก็อาจมีการตรวจอวัยวะอื่นๆเพิ่มเติม เพื่อตรวจสอบให้แน่ใจว่า ไม่มีการกระจายไปยังอวัยวะที่สำคัญ เช่น การเอกซเรย์ปอด และการสแกนกระดูก (Bone Scan)
อย่างไรก็ตาม การตรวจที่แน่นอน และเชื่อถือได้ 100% คือการตรวจชิ้นเนื้อตรงตำแหน่งก้อนเนื้อโดยตรง เราเรียกวิธีนี้เป็นภาษาแพทย์ว่า Biopsy
การตรวจชิ้นเนื้อของตับ (Biopsy)
มักจะใช้การตรวจเริ่มต้นด้วย อัลตราซาวด์ และตรวจเลือดดูระดับ AFP เหมือนกัน แต่จะมีการตรวจละเอียดเพิ่มเติมด้วยการใช้ เอกซเรย์คอมพิวเตอร์ (CT Scan) หรือบางครั้งอาจใช้การตรวจด้วยคลื่นแม่เหล็กไฟฟ้า (MRI) ซึ่งจะให้รายละเอียดเพิ่มเติมได้อย่างชัดเจน เช่น สามารถบอกขนาด รูปร่าง จำนวน ปริมาณเลือดที่มาเลี้ยง การกัดกิน อวัยวะข้างเคียง การกินเข้าในหลอดเลือดดำ หรือกระจายไปยังอวัยวะอื่นๆ เช่น ต่อมน้ำเหลือง ต่อมหมวกไต ปอด หรือกระดูกได้ เมื่อแพทย์การนำชิ้นเนื้อบางส่วนของก้อนเนื้อ ไปตรวจทางพยาธิวิทยา (นำชิ้นเนื้อไปส่องกล้องจุลทรรศน์ดูลักษณะเซลล์) เป็นการตรวจที่เชื่อถือได้มากที่สุด การตรวจสามารถทำได้ โดยไม่ต้องผ่าตัด แค่เพียงใช้เข็มที่มีขนาดเล็กสอดผ่านผิวหนังโดยฉีดยาชาเฉพาะที่ และการใช้อัลตราซาวด์ เป็นตัวนำทางในการสอดเข็มเข้าไปในตับตรงบริเวณก้อนเนื้อ เพื่อให้มีความแม่นยำมากที่สุด การใช้เข็มเพื่อตัดชิ้นเนื้อมีความสะดวก รวดเร็ว และปลอดภัยกว่าการผ่าตัดมาก
อย่างไรก็ตาม แพทย์ผู้ตรวจก็จะต้องระมัดระวังเรื่องเลือดซึมภายในตับ ซึ่งเป็นเหตุผลให้แพทย์มักจะให้ผู้ป่วยนอนในโรงพยาบาล หลังการตรวจชิ้นเนื้อด้วยเข็ม
ค่า AFP
ค่า AFP เป็นโปรตีนชนิดหนึ่ง พบในเลือดของทารกแรกเกิดจนถึงอายุ 1 ปี จะพบมากโดยเฉพาะเวลาที่เด็กอยู่ในครรภ์มารดา และหลังจากอายุ 1 ปี ไปแล้วจะไม่พบโปรตีนชนิดนี้ในเลือดอีก AFP ย่อมาจากคำว่า Alpha FetoProtein
หากพบค่านี้สูงเกิน 300 หรือ 500 (บางตำรา) จะถือว่ามีโอกาสเป็นโรคมะเร็งตับค่อนข้างแน่นอน โดยที่ไม่จำเป็นต้องพิสูจน์ชิ้นเนื้อด้วยการตัดชิ้นเนื้อด้วยเข็ม (Needle Biopsy) ในบางกรณี ผู้ป่วยมะเร็งตับอาจมีค่า AFP ในเลือดไม่เกิน 300 หรือ 500 อาจสูงแค่หลักสิบก็ได้ ซึ่งกรณีเหล่านี้ อาจต้องทำการพิสูจน์ด้วยการตรวจชิ้นเนื้อด้วย
เมื่อมีการรักษาโรคมะเร็งตับแล้ว ค่า AFP อาจจะลดลง เราจึงสามารถใช้ AFP เป็นค่าติดตามผลการรักษาได้ นอกจากพบในโรคมะเร็งของเซลล์ตับแล้ว โรคมะเร็งบางชนิด เช่น มะเร็งของเซลล์ตัวอ่อนในระบบสืบพันธุ์ (Germ cell) หรือมะเร็งที่กระจายจากอวัยวะอื่นๆมาที่ตับ อาจมี ค่า AFP ในเลือดสูงก็ได้
การตรวจหามะเร็งตับด้วยอัลตราซาวด์

การตรวจด้วยอัลตราซาวด์
เป็นการตรวจด้วยคลื่นเสียงความถี่สูง ใช้ในการตรวจเบื้องต้น เพื่อค้นหาว่าผู้ป่วยโรคตับอักเสบ B,C มีภาวะตับแข็งเกิดขึ้นหรือยัง และยังใช้ในการตรวจเบื้องต้นว่าผู้ป่วยที่เป็นตับแข็งมีมะเร็งตับเกิดขึ้นหรือยัง สามารถตรวจได้แม้มะเร็งจะมีขนาดเล็กกว่า 1 ซม. แต่ความจำเพาะ หรือความเชื่อถือได้อาจจะไม่สูงมาก อาจจะต้องตรวจเพิ่มเติมโดย วิธีการอื่นๆ
การตรวจหามะเร็งตับด้วยการเอกซเรย์คอมพิวเตอร์ (CT scan)
การตรวจหามะเร็งตับด้วยการเอกซเรย์คอมพิวเตอร์ (CT scan)
เป็นการตรวจที่ใช้กันมากที่สุดในการช่วยวินิจฉัยโรคมะเร็งตับ โดยมีความจำเพาะ และเชื่อถือได้สูง และยังช่วยบอกรายละเอียดต่างๆได้ดี เช่น ขนาดก้อน จำนวนก้อน ตำแหน่งก้อน การกดทับเส้นเลือด การกดทับอวัยวะใกล้เคียง น้ำในช่องท้อง ต่อมน้ำเหลือง การกระจายไปที่ปอด กระดูกสันหลัง ซึ่งข้อมูลเหล่านี้มีประโยชน์ในการตัดสิน ใจเลือกวิธีการรักษา หรือประเมินผลการรักษาได้
อย่างไรก็ตาม การตรวจด้วยวิธีนี้ก็มีราคาสูงกว่าการตรวจด้วยอัลตราซาวด์ ใช้เวลาในการตรวจประมาณ 10 / 20 นาที และต้องงดอาหารก่อนการตรวจ 4 ชั่วโมง

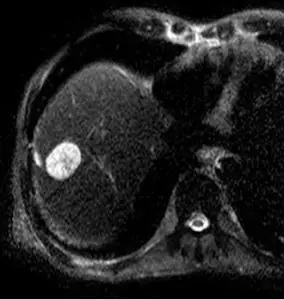
การตรวจหามะเร็งตับด้วยคลื่นแม่เหล็กไฟฟ้า (MRI)

การตรวจหามะเร็งตับด้วยคลื่นแม่เหล็กไฟฟ้า (MRI)
โดยมากจะใช้วิธีการนี้ในบางรายหรือบางกรณีเท่านั้น เช่น รายที่ไม่สามารถตรวจด้วยเอกซเรย์คอมพิวเตอร์ หรือตรวจจากเอกซเรย์คอมพิวเตอร์แล้วไม่ได้คำตอบ หาข้อสรุปไม่ได้
ดังนั้นการตรวจด้วย MRI ใช้เวลาในการตรวจนานกว่า คือ 30 / 60 นาที แต่ไม่จำเป็นต้องงดอาหารก่อนการตรวจ โดยทั่วไปมีราคาค่าตรวจสูงกว่า เอกซเรย์คอมพิวเตอร์เล็กน้อย
การตรวจหามะเร็งตับเอกซเรย์คอมพิวเตอร์ (CT scan)
การตรวจเอกซเรย์คอมพิวเตอร์ (CT scan)
เป็นการตรวจที่รวมกันระหว่างการตรวจเอกซเรย์คอมพิวเตอร์กับการตรวจพิเศษด้านเวชศาสตร์นิวเคลียร์ที่เรียกว่า PET Scan มีการฉีดสารชนิดหนึ่งที่เป็นน้ำตาล ที่เรียกว่า FDG ซึ่งจะไปจับตัวอยู่ตรงบริเวณที่เป็นมะเร็ง แล้วเราสามารถสแกนภาพจากเอกซเรย์คอมพิวเตอร์ออกมาได้ ทำให้มีความจำเพาะและเชื่อถือได้สูง หากผลการตรวจพบว่า มีการจับตัวของ FDG ในตัวก้อนเนื้อ แต่หากตรวจแล้วไม่มีการจับตัวของ FDG ก็มิได้หมายความว่าจะไม่ได้เป็นมะเร็ง มีผู้ป่วยมะเร็งตับเพียง 50% เท่านั้น ที่ตรวจด้วยวิธีนี้ แล้วมีการจับตัว เราจึงไม่ได้นำวิธีนี้มาใช้ในการวินิจฉัยโรคเบื้องต้น แต่มักใช้ในการติดตามผลการรักษามากกว่า

การตรวจ Bone scan
การตรวจนี้ นับเป็นขั้นตอนสำคัญในการบอกว่าเป็นมะเร็งตับระยะใด ควรจะได้รับการตรวจ Bone scan หรือการสแกนกระดูก เพื่อให้แน่ใจว่าไม่มีการกระจายของมะเร็งไปที่กระดูก เพราะหากพบว่ามีการกระจาย นั่นหมายถึงระยะของโรคอาจเป็นระยะที่ 4 นั่นเอง การตรวจ Bone scan ควรทำทุกครั้ง ก่อนที่จะเริ่มทำการรักษาใดๆ


นอกจากนี้การตรวจ Bone scan ยังจำเป็นในการช่วยให้แพทย์ทราบว่า มีการกระจายของมะเร็งตับมาที่ปอดหรือไม่ โดยหากพบว่ามีการกระจายมาจุดดังกล่าว นั่นหมายถึงว่ามะเร็งนั้นจะอยู่ในระยะที่ 4 แล้ว การตรวจด้วยเอกซเรย์ปอดธรรมดาก็เพียงพอ แต่การตรวจปอดด้วยเอกซเรย์คอมพิวเตอร์ จะมีความแม่นยำและมีโอกาสผิดพลาดน้อยกว่าการตรวจควรทำทุกครั้ง ก่อนเริ่มทำการรักษาใดๆ และควรทำต่อเนื่อง อย่างน้อย ปีละ 1 – 2 ครั้ง

รศ.นพ.คมกริช ฐานิสโร
แพทย์รังสีร่วมรักษาด้านมะเร็งตับ
และรองประธานเจ้าหน้าที่บริหารกลุ่มโรงพยาบาลแพทย์รังสิต
เว็บไซต์นี้มีการใช้งานคุกกี้ เพื่อเพิ่มประสิทธิภาพและประสบการณ์ที่ดีในการใช้งานเว็บไซต์ของท่าน